Madrid, 21 dic (EFE).- La mayor parte de los tumores sólidos se caracterizan por presentar varias mutaciones en diferentes genes, pero un equipo del Centro de Investigación del Cáncer de Salamanca (España) ha comprobado que detrás de un tipo de cáncer de ovario se esconde la mutación de un único gen.
Los resultados de este centro (de la Universidad de Salamanca y del Consejo Superior de Investigaciones Científicas) van a ayudar a comprender la naturaleza y los mecanismos moleculares del gen que codifica una proteína (la FOXL2), que está relacionado con la mayoría de estos tumores.
Los investigadores, que han publicado los resultados de su trabajo en la revista Cancer Research, han demostrado en un modelo de ratón el papel clave que cumple la mutación genética de un solo gen en la iniciación y desarrollo de los tumores de células granulosas de adulto (AGCT), un tipo de cáncer de ovario.
Cuando el óvulo se prepara para ser liberado en la ovulación, las células de la granulosa que lo rodean secretan un líquido folicular que crea una cavidad; esa masa de tejido, líquido y óvulo, recibe el nombre de "folículo de Graaf", ha explicado el CSIC en una nota de prensa difundida hoy.
Ese tipo de tumores son el más común entre los tumores no epiteliales del ovario, y ocurren con mayor frecuencia después de la menopausia y tienen un pronóstico favorable.
Pero las recurrencias agresivas pueden ocurrir hasta en el 50 por ciento de los casos diagnosticados, ya que como dichos tumores crecen lentamente, pueden reaparecer incluso 30 años después de la extirpación del tumor primario.
La mayoría de estos tumores presenta una variante en el ADN del gen que codifica la citada proteína (FOXL2), ha precisado el CSIC, y ha señalado que además existen variantes en esa proteína heredadas que son responsables del síndrome de blefarofimosis, una enfermedad hereditaria que se caracteriza por una malformación del párpado y el desarrollo de insuficiencia ovárica prematura en muchas de las mujeres que lo padecen.
La mutación de un único gen está detrás de un tipo de cáncer de ovario

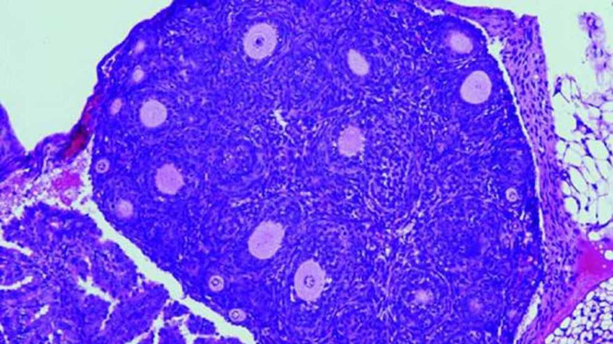
En la imagen se muestra la reducción en el número de folículos ováricos (causante de la insuficiencia ovárica prematura) en los ratones con la variante "humanizada" de una proteína. Imagen cedida por el Centro de Investigación del Cáncer (CSIC-USAL). EFE.







Abigail Arredondo Ramos, diputada federal del PRI, alertó sobre la crisis de vacunación que enfrenta México desde la pandemia. 






Personal de enfermería aplica biológicos en el módulo ENSAIN del campus universitario de la UAQ.
Personal de enfermería aplica biológicos en el módulo ENSAIN del campus universitario de la UAQ.
Personal de enfermería aplica biológicos en el módulo ENSAIN del campus universitario de la UAQ. 

